
スタッフ一同、明るい笑顔でお迎えします。お困りのことや気がかりなことがありましたら、何なりとお声がけください。
白を基調とした明るく清潔感のある待合室で、おくつろぎいただけます。エントランスは靴の履き替えがしやすいように、腰をかけられる場所があります。
プライベートな空間を大切にするために、診察室は個室になっています。また、院内感染対策として、きれいなお水でお口をゆすげる浄水システム(KAVO)を採用しています。
明るく清潔なパウダールームをご用意いたしました。
治療前後の歯磨きや、お化粧直しにゆっくりご利用いただけます。
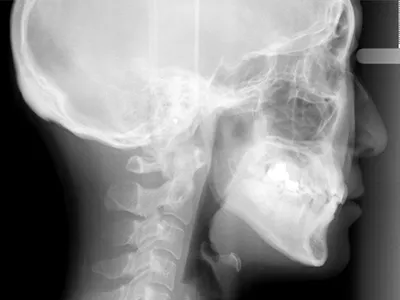
肉眼では見えない初期むし歯を発見します。デジタルデータの為、お口の中の情報をモニターですぐに確認できます。また、従来のレントゲンとくらべて被ばく量が1/10ほどに抑えられるため、身体にやさしいのが特徴です。当院ではセファロという矯正治療専用のレントゲンも完備しており、頭部も含めて精度の高い診査診断が可能となります。
セファロで撮影した高精度の画像から歯列弓や顎、骨格や歯などの現状や位置の移動を細かく分析し、スピーディかつ的確に様々な情報を把握するのに役立ちます。
高出力のレーザー治療器です。患部の変化や周辺部位をしっかり確認しながらスムーズな処置ができ、患者さんのご負担を軽減します。
タービンとは歯を削る道具のことで、エアーの力で高速回転して動いています。繊細で複雑な構造をしているため、衛生管理が難しいのが特徴です。当院は、タービン専用のメンテナンス器を導入して、いつでも清潔な状態を保ちながら治療を行っています。
口腔外バキュームは、治療中に飛び散った唾液はもちろん、歯や詰め物・被せ物などの修復物を削った粉塵を瞬時に吸い込む役目を果たします。治療スペースを清潔に保つとともに、院内感染リスクを低減します。
| 診療時間 | 月 | 火 | 水 | 木 | 金 | 土 | 日 |
| 9:00-13:30 | / | / | ● | ● | ● | ● | ● |
| 16:00-17:30 | / | / | ● | ● | ● | / | / |
休診日:月曜、火曜、祝日
※金曜日の午後は手術日となります。
※急患随時受付
[受付時間] 9:00〜13:30/16:00〜17:30
(月曜・火曜・祝日は除く)
お仕事などの都合で通院が難しい方もお電話でお問い合わせください。
〒063-0826
北海道札幌市西区発寒6条9丁目3-20
クレアホームズ宮の沢 1F
「宮の沢駅」から徒歩3分
駐車場:医院前2台あり
診療内容
虫歯、根管治療、歯周病、入れ歯、歯科口腔外科、顎関節症、予防・クリーニング、インプラント、矯正歯科(マウスピース型矯正装置)、審美治療、ホワイトニング、マウスピース製作